脳梗塞の診断と治療
脳梗塞の診断と治療

脳梗塞の診断と治療

脳梗塞とは、脳の血管がつまり、脳のその部分に血流がとだえるため、脳の細胞が死んでしまう病気です。近年、増加傾向にあります。脳梗塞は、言語障害や片麻痺などの後遺症を残すことがあり、最も重症の場合、生命の危険性が出現します。

①脳梗塞はできるだけ早く正確な診断をして、治療を開始することが重要です。症状が出現し4.5時間以内なら、tPAというお薬が使えます。これにより血栓を溶かし、血流を再開することで、後遺症をできるだけ軽くするように試みます。当院では、この tPA治療に対応できる救急体制をとっております。

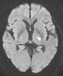
②脳梗塞には大きく3つのタイプに分かれます。そして、それぞれ治療法が異なります。脳の深部にある細い動脈がつまるラクナ梗塞、脳血管の動脈硬化に起因するアテローム血栓性脳梗塞、心房細動といった不整脈などの心疾患のために心臓の中で血栓ができて、それが脳に流れていってつまる心源性脳塞栓症の3つのタイプです。MRI検査は、3つのタイプを鑑別するために重要な検査です。MRI検査により、脳のどの部分が、どの程度梗塞に陥っているかを明らかにします。

脳梗塞

ラクナ梗塞

脳梗塞

アテローム血栓性脳梗塞

脳梗塞

心源性脳塞栓症

③心源性塞栓症では、その原因となる心房細動などの心疾患について、循環器内科の診察を行い、最適な治療法を検討いたします。再発予防には、ワーファリンや、NOAC(新規経口抗凝固薬)というお薬の内服が必要です。

④当院では、これらの急性期治療に引き続いて、リハビリテーションが長期に必要な患者様には、回復期リハビリテーション病棟に移っていただき、リハビリテーションを継続することが可能です。このように、急性期から一貫し た治療を行えるのも当院の特徴の一つです。